Especialidad en Rehabilitación Oral

$700.00

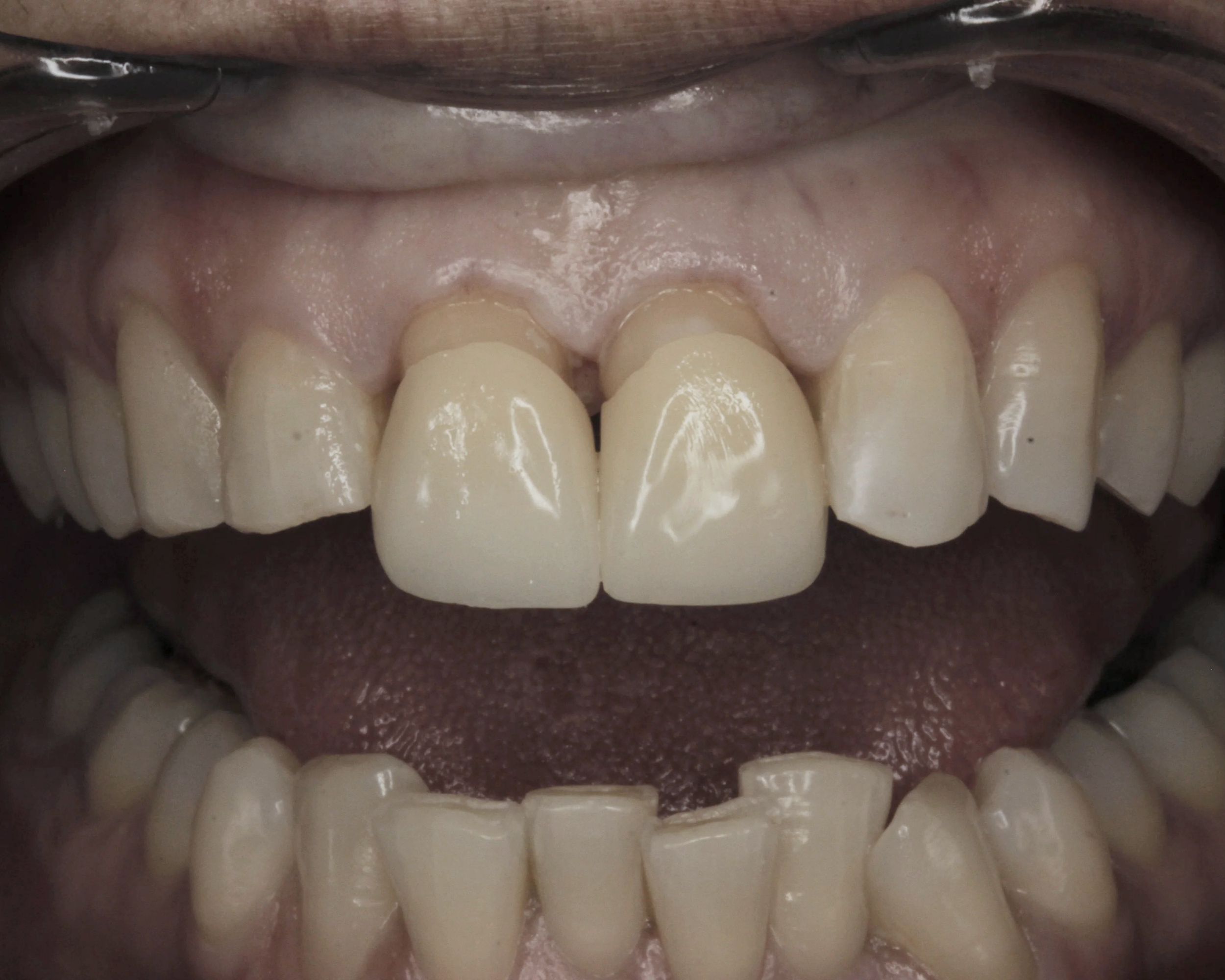
Reconstruimos sonrisas completas combinando estética y función para resultados duraderos y armónicos.

Perder piezas dentales ya no es un problema, desde un diente hasta una arcada completa.
Recupera tu confianza.

  • Evaluación clínica y radiográfica inicial

  • Guardas/Protectores dentales

  • Odontología estética, carillas/ veneers de resina o porcelana

  • Blanqueamiento profesional en casa o consultorio

  • Impresiones convencionales y digitales

  • Provisionales (coronas y puentes temporales)

  • Selección y prueba de color (shade matching)

  • Colocación de coronas y puentes fijos

  • Rehabilitación con prótesis parciales removibles

  • Rehabilitación con prótesis completas removibles

  • Planificación y colocación de implantes (en colaboración con cirujano)

  • Ajuste oclusal y recalibración de la oclusión

  • Rehabilitación estética anterior (carillas, coronas estéticas)

  • Reconstrucción vertical de dimensión oclusal

  • Rehabilitación de pacientes con bruxismo (splints/férulas)

  • Rehabilitaciones estéticas y funcionales complejas (rehabilitación total)

  • Reparación y ajuste de prótesis existentes

  • Rehabilitación en pacientes con pérdidas dentales traumáticas

  • Intervenciones interdisciplinarias (ortodoncia, periodoncia, endodoncia)

*Se pueden requerir estudios adicionales como radiografías o tomografia.

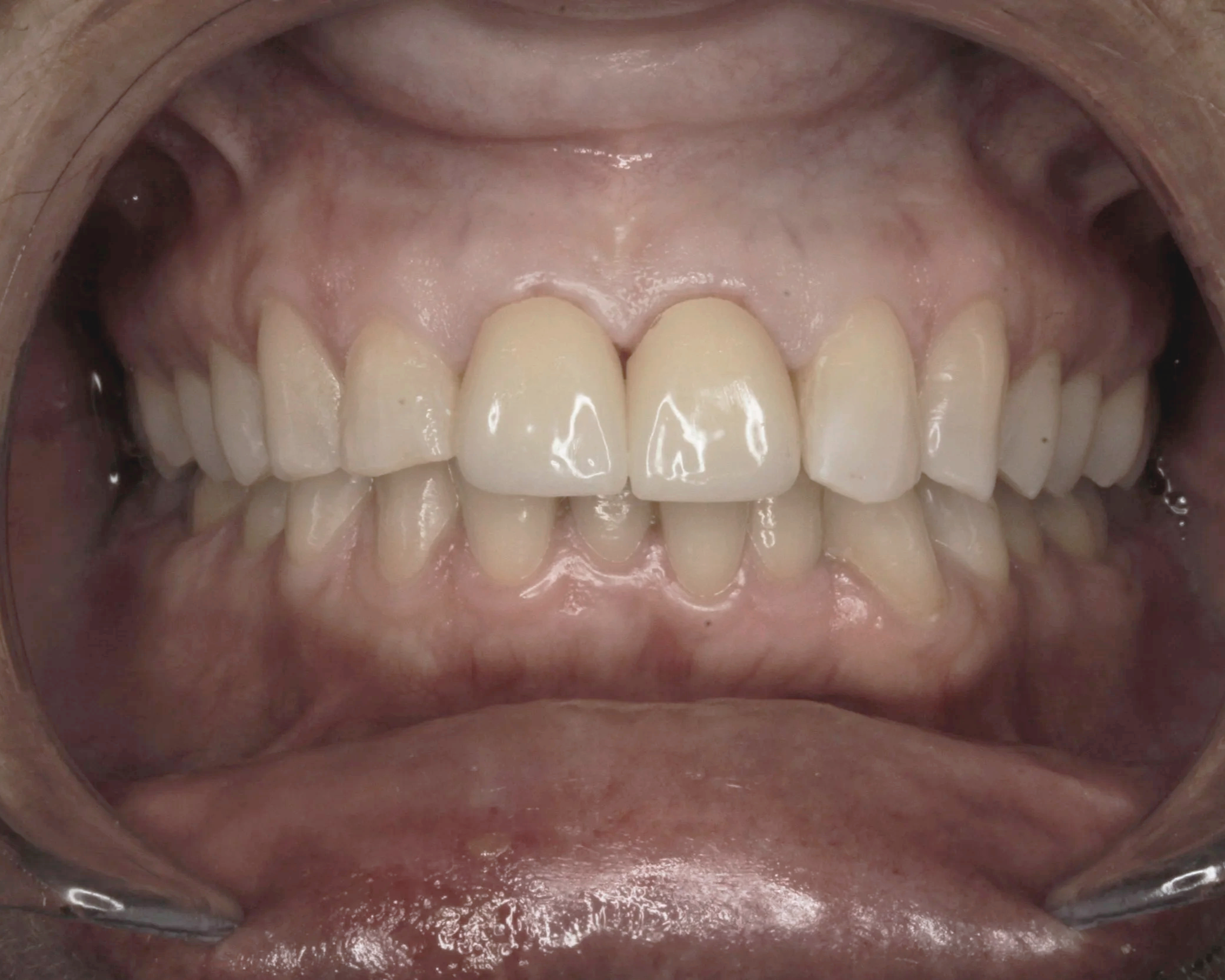
Reconstruimos sonrisas completas combinando estética y función para resultados duraderos y armónicos.

Perder piezas dentales ya no es un problema, desde un diente hasta una arcada completa.
Recupera tu confianza.

  • Evaluación clínica y radiográfica inicial

  • Guardas/Protectores dentales

  • Odontología estética, carillas/ veneers de resina o porcelana

  • Blanqueamiento profesional en casa o consultorio

  • Impresiones convencionales y digitales

  • Provisionales (coronas y puentes temporales)

  • Selección y prueba de color (shade matching)

  • Colocación de coronas y puentes fijos

  • Rehabilitación con prótesis parciales removibles

  • Rehabilitación con prótesis completas removibles

  • Planificación y colocación de implantes (en colaboración con cirujano)

  • Ajuste oclusal y recalibración de la oclusión

  • Rehabilitación estética anterior (carillas, coronas estéticas)

  • Reconstrucción vertical de dimensión oclusal

  • Rehabilitación de pacientes con bruxismo (splints/férulas)

  • Rehabilitaciones estéticas y funcionales complejas (rehabilitación total)

  • Reparación y ajuste de prótesis existentes

  • Rehabilitación en pacientes con pérdidas dentales traumáticas

  • Intervenciones interdisciplinarias (ortodoncia, periodoncia, endodoncia)

*Se pueden requerir estudios adicionales como radiografías o tomografia.