Especialidad en Odontopediatría

$0.00

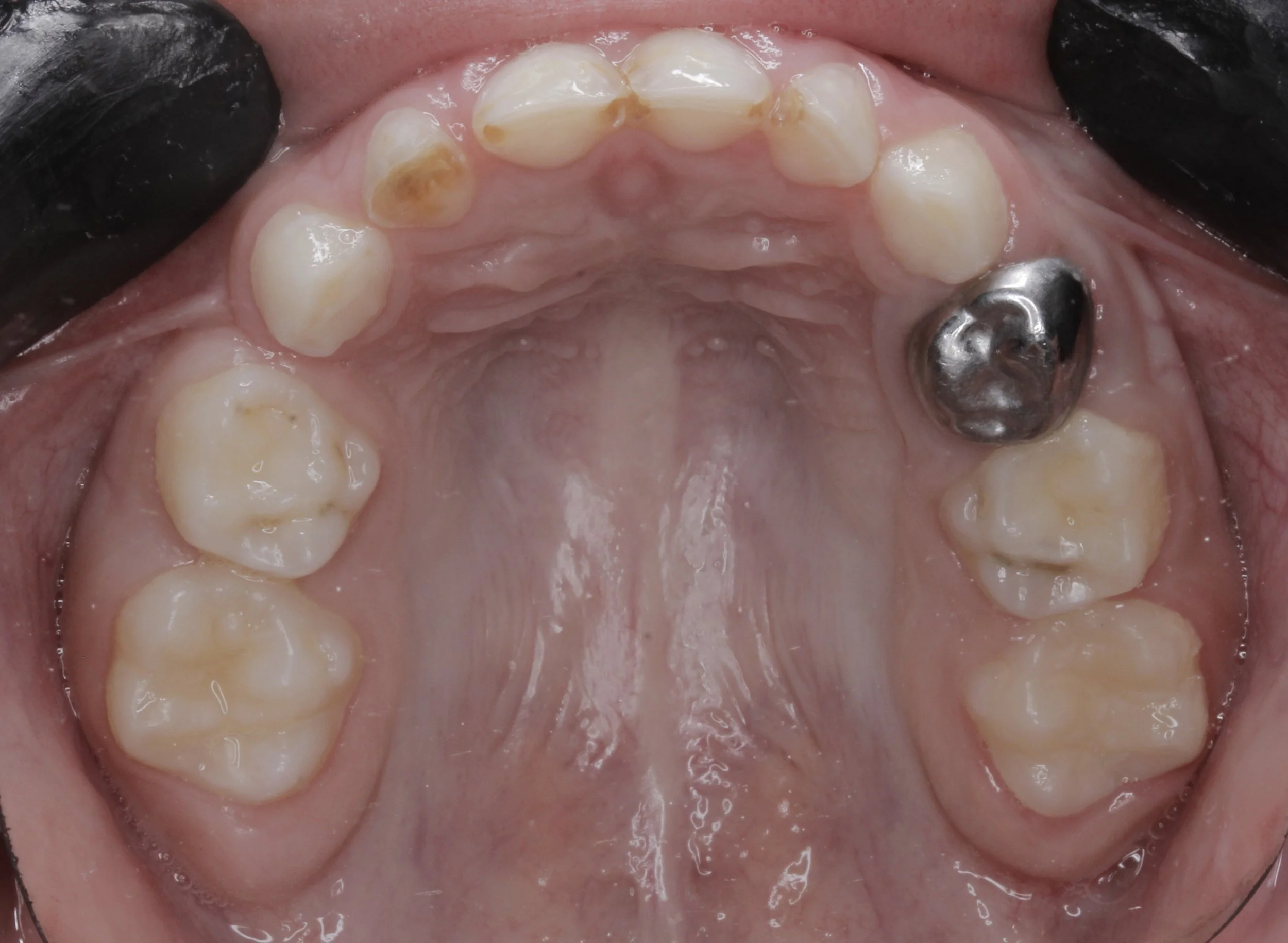
Atendemos a los más pequeños con un enfoque amigable, creando experiencias positivas desde temprana edad.

  • Evaluación y seguimiento del desarrollo oral (exploración clínica, control de crecimiento y erupción dental)

  • Higiene y profilaxis pediátrica (limpieza profesional, sellantes de fosas y fisuras)

  • Aplicación de flúor y educación sobre prevención (barnices, indicaciones para casa)

  • Restauraciones dentales en dientes temporales y permanentes (empastes con resina, ionómero de vidrio)

  • Tratamiento de caries extensa en dientes de leche (pulpectomía y pulpotomía)

  • Manejo del dolor y control de infecciones orales (antisépticos, antibióticos cuando corresponde)

  • Extracciones pediátricas y manejo de dientes retenidos o fracturados

  • Atención de traumatismos dentales en niños (reimplantación, inmovilización, seguimiento)

  • Ortodoncia interceptiva y derivación temprana (evaluación de hábitos, dispositivos funcionales)

  • Tratamiento de alteraciones del desarrollo (anomalías de número, forma o erupción)

  • Manejo conductual y técnicas de comunicación para niños y familia (sedación consciente, técnicas de refuerzo positivo)

  • Atención a pacientes con necesidades especiales (adaptaciones del tratamiento y del ambiente)

    *Pueden requerirse estudios adicionales como radiografías o tomografia.

Atendemos a los más pequeños con un enfoque amigable, creando experiencias positivas desde temprana edad.

  • Evaluación y seguimiento del desarrollo oral (exploración clínica, control de crecimiento y erupción dental)

  • Higiene y profilaxis pediátrica (limpieza profesional, sellantes de fosas y fisuras)

  • Aplicación de flúor y educación sobre prevención (barnices, indicaciones para casa)

  • Restauraciones dentales en dientes temporales y permanentes (empastes con resina, ionómero de vidrio)

  • Tratamiento de caries extensa en dientes de leche (pulpectomía y pulpotomía)

  • Manejo del dolor y control de infecciones orales (antisépticos, antibióticos cuando corresponde)

  • Extracciones pediátricas y manejo de dientes retenidos o fracturados

  • Atención de traumatismos dentales en niños (reimplantación, inmovilización, seguimiento)

  • Ortodoncia interceptiva y derivación temprana (evaluación de hábitos, dispositivos funcionales)

  • Tratamiento de alteraciones del desarrollo (anomalías de número, forma o erupción)

  • Manejo conductual y técnicas de comunicación para niños y familia (sedación consciente, técnicas de refuerzo positivo)

  • Atención a pacientes con necesidades especiales (adaptaciones del tratamiento y del ambiente)

    *Pueden requerirse estudios adicionales como radiografías o tomografia.