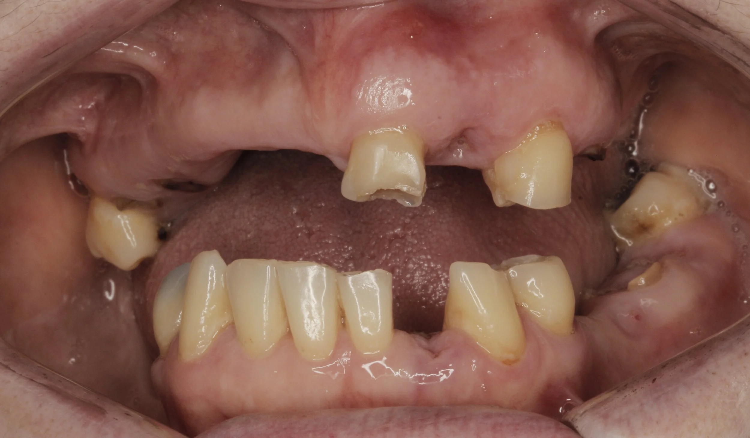
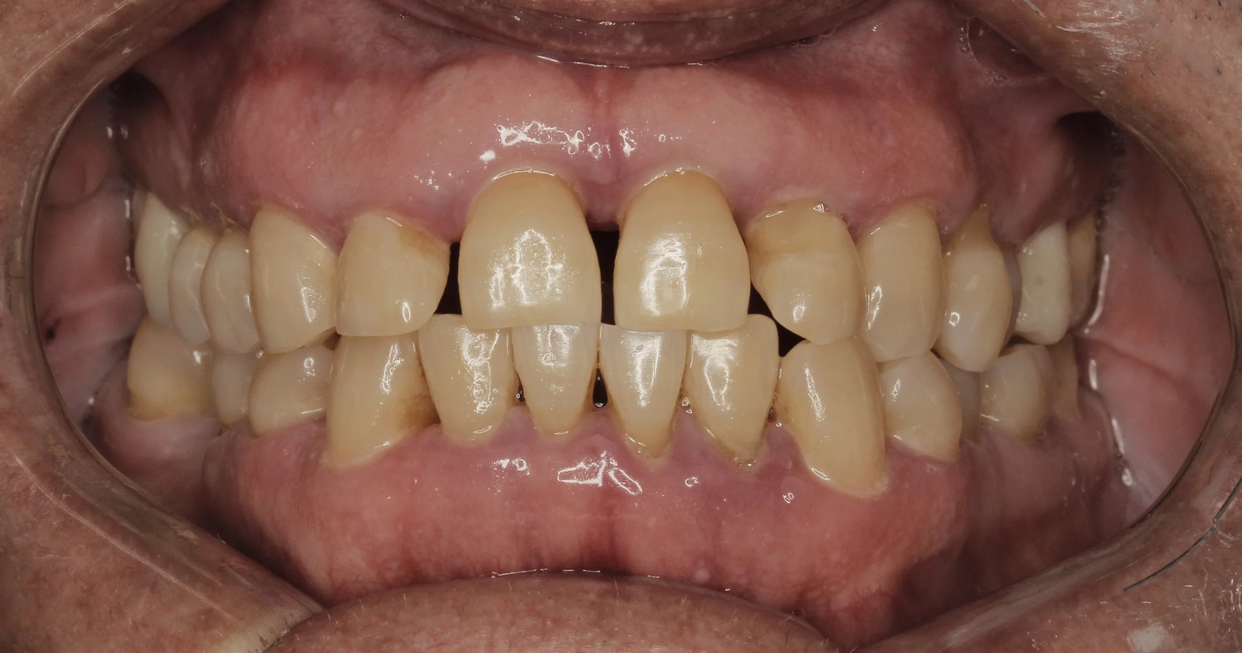
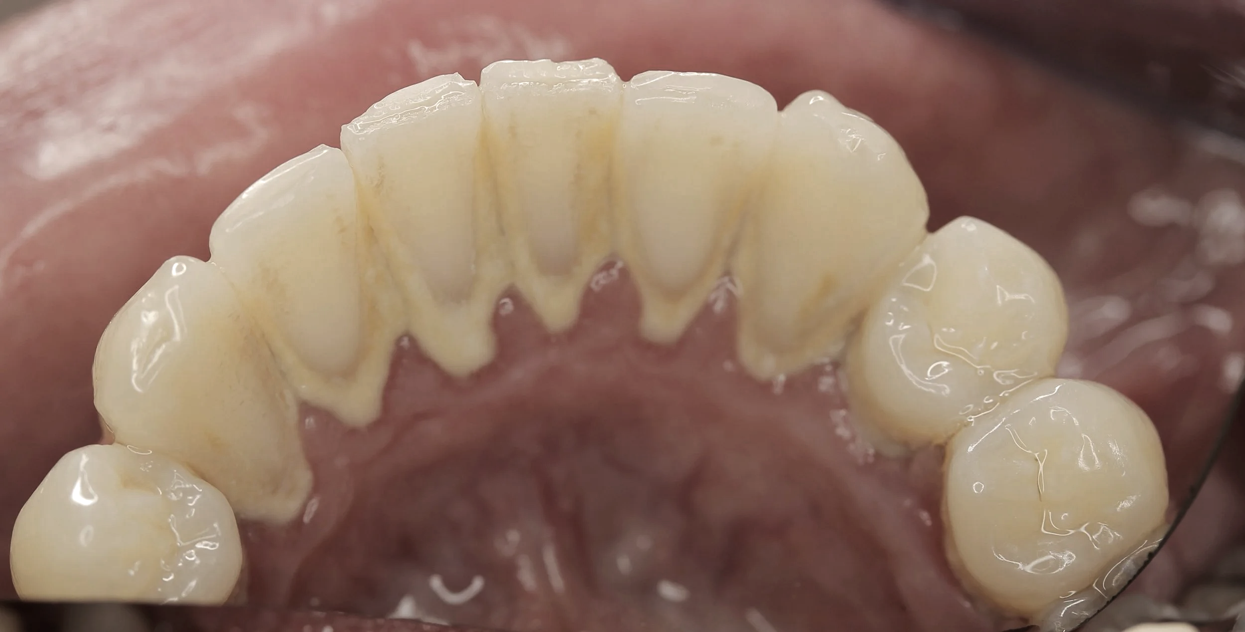
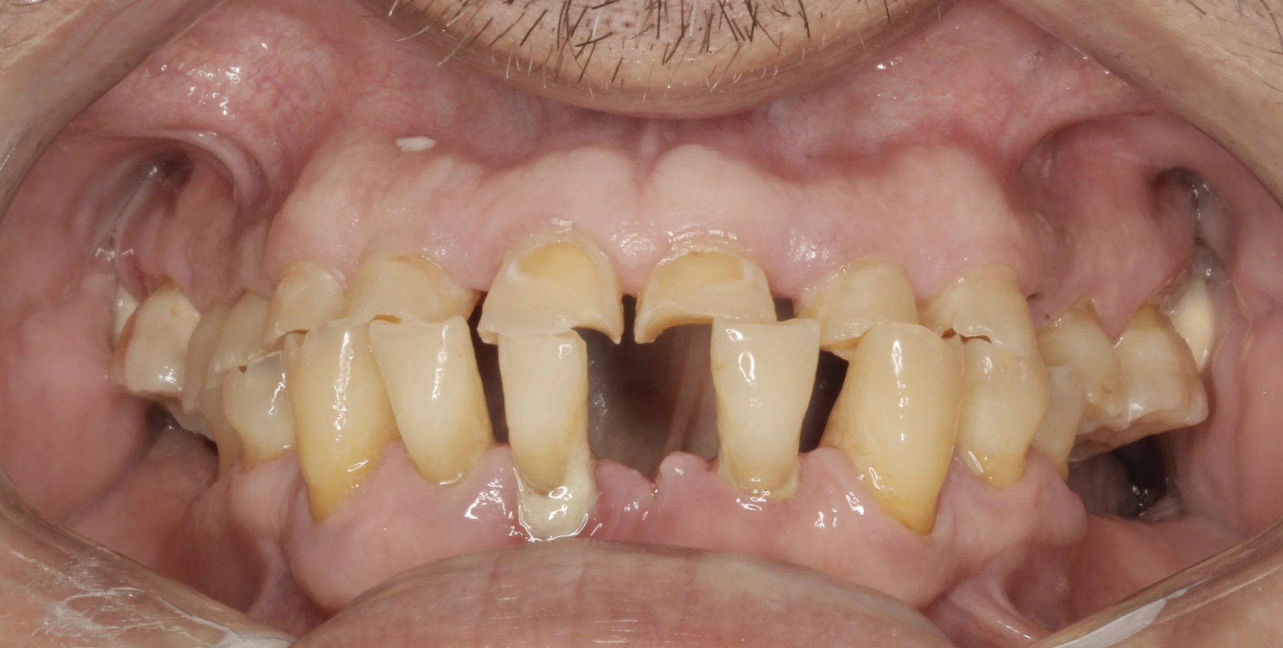
Especialidad en Periodoncia

$700.00

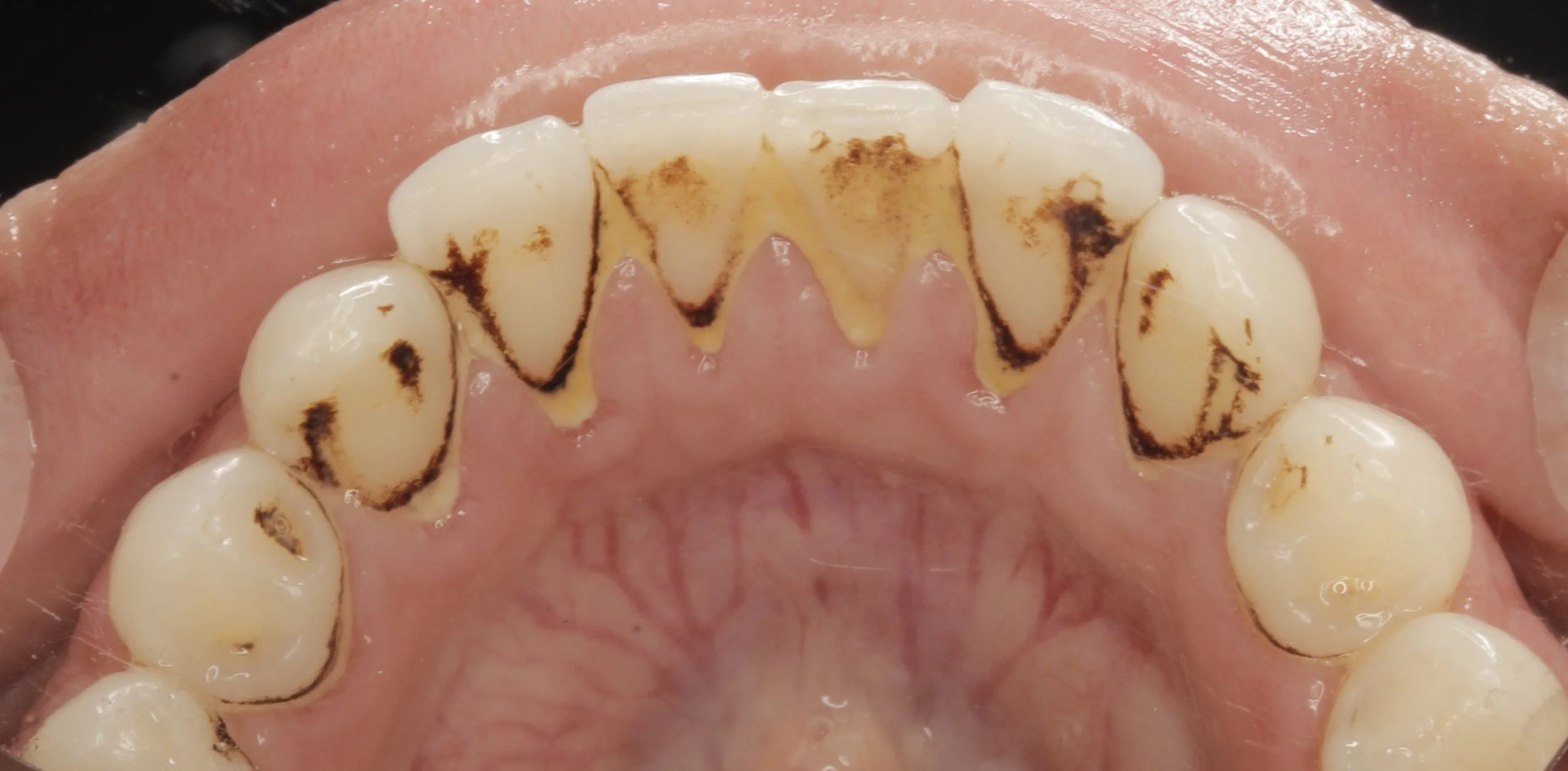
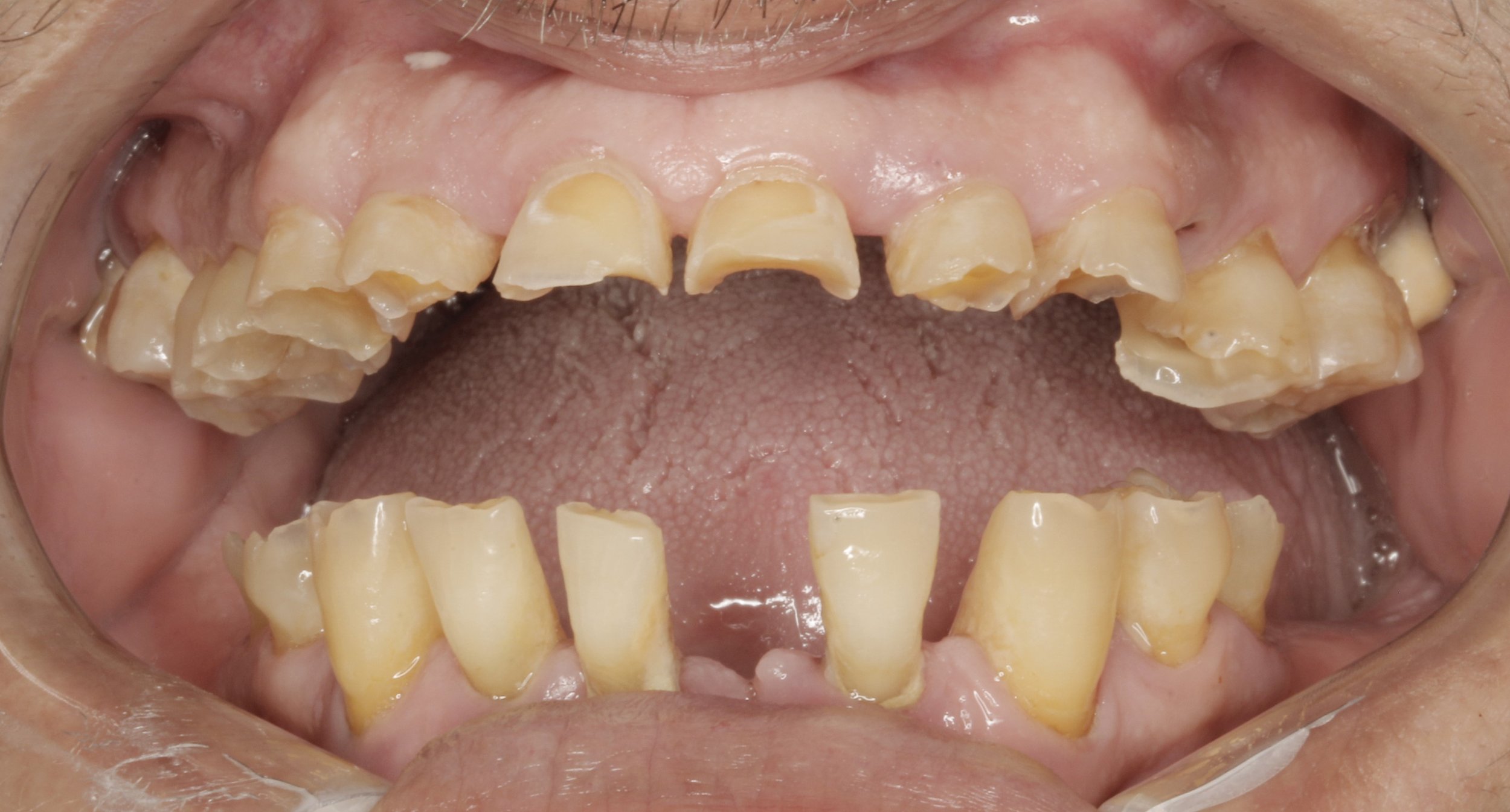
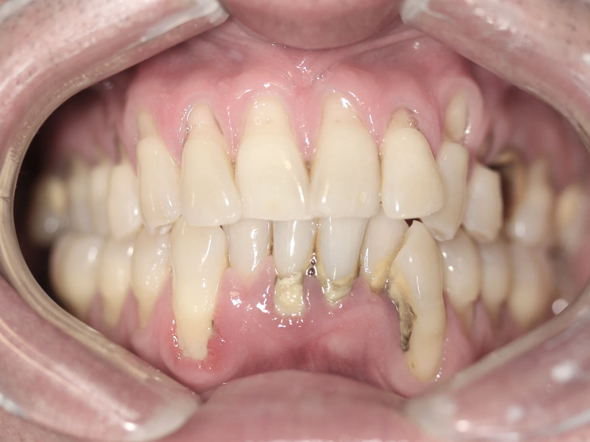
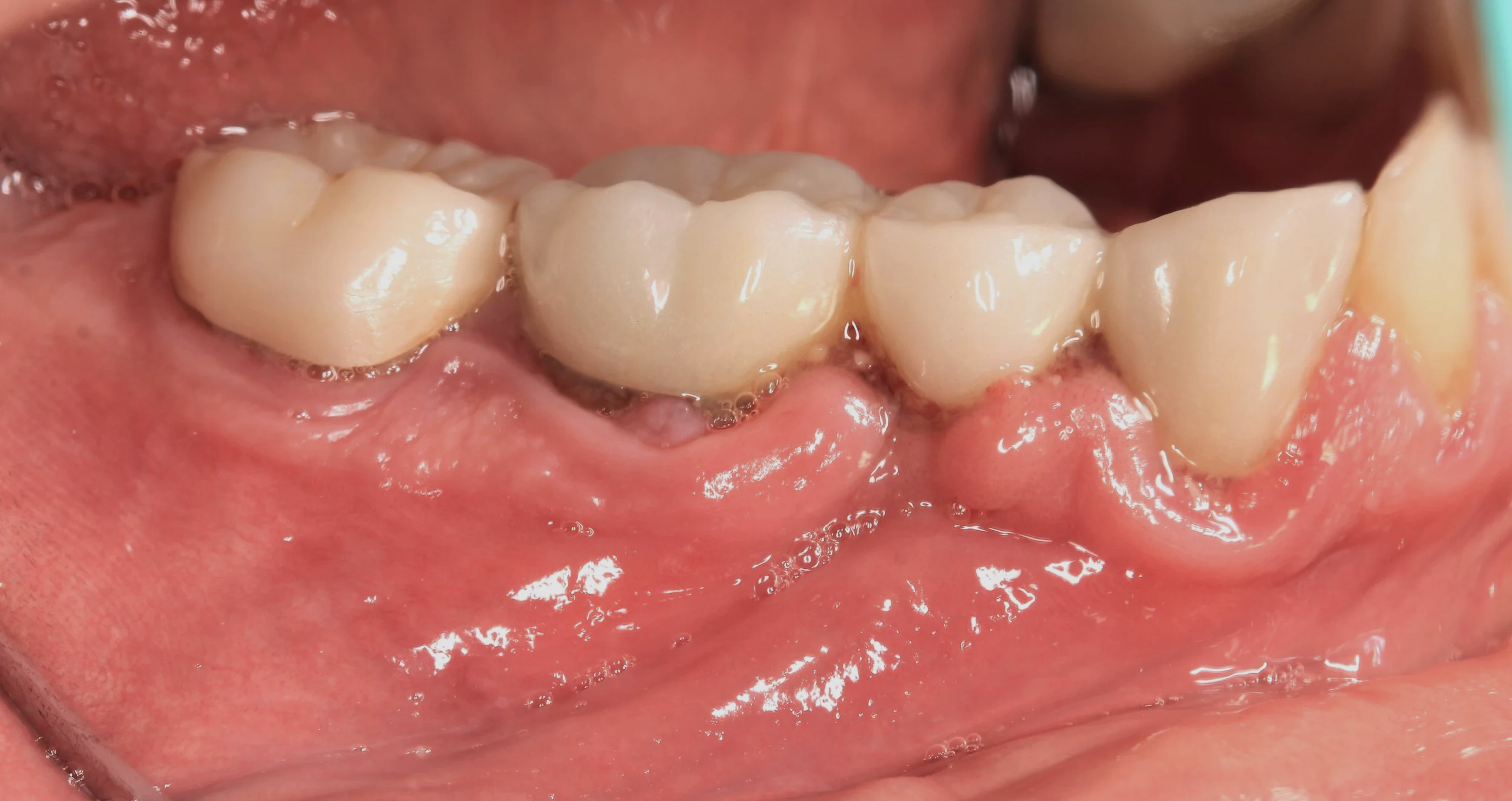
Tratamos enfermedades de las encías para proteger el soporte de tus dientes y mantener una salud bucal óptima.

  • Evaluación periodontal completa (historia clínica, sonda periodontal, radiografías y mapas de pérdida ósea)

  • Limpiezas profundas

  • Evaluación y manejo de factores de riesgo sistémicos (diabetes, tabaquismo, enfermedades cardiometabólicas) y coordinación con el equipo médico

  • Tratamiento de gingivitis (profilaxis profesional, raspado y pulido)

  • Raspado y alisado radicular (curetaje subgingival) para enfermedad periodontal crónica

  • Tratamiento periodontal avanzado (cirugías periodontales abiertas para acceso y descontaminación radicular)

  • Cirugía de colgajo periodontal para descontaminación y regeneración

  • Regeneración tisular guiada (membranas, injertos óseos y factores de crecimiento)

  • Injertos óseos y de tejidos blandos (autoinjertos, aloinjertos, xenoinjertos, matrices dérmicas)

  • Injertos de encía y cirugía mucogingival (aumento de encía queratinizada, recesiones gingivales, técnicas de túnel)

  • Gingivectomía y gingivoplastia (corrección de exageraciones gingivales y contornos estéticos)

  • Tratamiento de abscesos periodontales y urgencias infecciosas

  • Manejo de periodontitis agresiva y tratamiento sistémico-adjunto (antibióticos sistémicos según indicación)

  • Mantenimiento periodontal (profilaxis periódica y revisión de bolsas) y programas de soporte periodontal a largo plazo

  • Preparación y mantenimiento de implantes (cirugía pre- e inmediata para implantes, prevención y tratamiento de periimplantitis)

  • Extracciones dentales complejas relacionadas con enfermedad periodontal y planificación de rehabilitación

  • Planificación interdisciplinaria (colaboración con ortodoncistas, prostodoncistas y cirujanos para rehabilitación integral)

    *Pueden requerirse estudios complementarios como radiografías o tomografía.

Tratamos enfermedades de las encías para proteger el soporte de tus dientes y mantener una salud bucal óptima.

  • Evaluación periodontal completa (historia clínica, sonda periodontal, radiografías y mapas de pérdida ósea)

  • Limpiezas profundas

  • Evaluación y manejo de factores de riesgo sistémicos (diabetes, tabaquismo, enfermedades cardiometabólicas) y coordinación con el equipo médico

  • Tratamiento de gingivitis (profilaxis profesional, raspado y pulido)

  • Raspado y alisado radicular (curetaje subgingival) para enfermedad periodontal crónica

  • Tratamiento periodontal avanzado (cirugías periodontales abiertas para acceso y descontaminación radicular)

  • Cirugía de colgajo periodontal para descontaminación y regeneración

  • Regeneración tisular guiada (membranas, injertos óseos y factores de crecimiento)

  • Injertos óseos y de tejidos blandos (autoinjertos, aloinjertos, xenoinjertos, matrices dérmicas)

  • Injertos de encía y cirugía mucogingival (aumento de encía queratinizada, recesiones gingivales, técnicas de túnel)

  • Gingivectomía y gingivoplastia (corrección de exageraciones gingivales y contornos estéticos)

  • Tratamiento de abscesos periodontales y urgencias infecciosas

  • Manejo de periodontitis agresiva y tratamiento sistémico-adjunto (antibióticos sistémicos según indicación)

  • Mantenimiento periodontal (profilaxis periódica y revisión de bolsas) y programas de soporte periodontal a largo plazo

  • Preparación y mantenimiento de implantes (cirugía pre- e inmediata para implantes, prevención y tratamiento de periimplantitis)

  • Extracciones dentales complejas relacionadas con enfermedad periodontal y planificación de rehabilitación

  • Planificación interdisciplinaria (colaboración con ortodoncistas, prostodoncistas y cirujanos para rehabilitación integral)

    *Pueden requerirse estudios complementarios como radiografías o tomografía.