0
Saltar al contenido
Lumen Clínica Dental
Inicio
Nosotros
Servicios
Casos
Hacer cita/ Appointments
Lumen Clínica Dental
Inicio
Nosotros
Servicios
Casos
Hacer cita/ Appointments
Inicio
Nosotros
Servicios
Casos
Hacer cita/ Appointments
Antes 
Preparación para corona sin metal
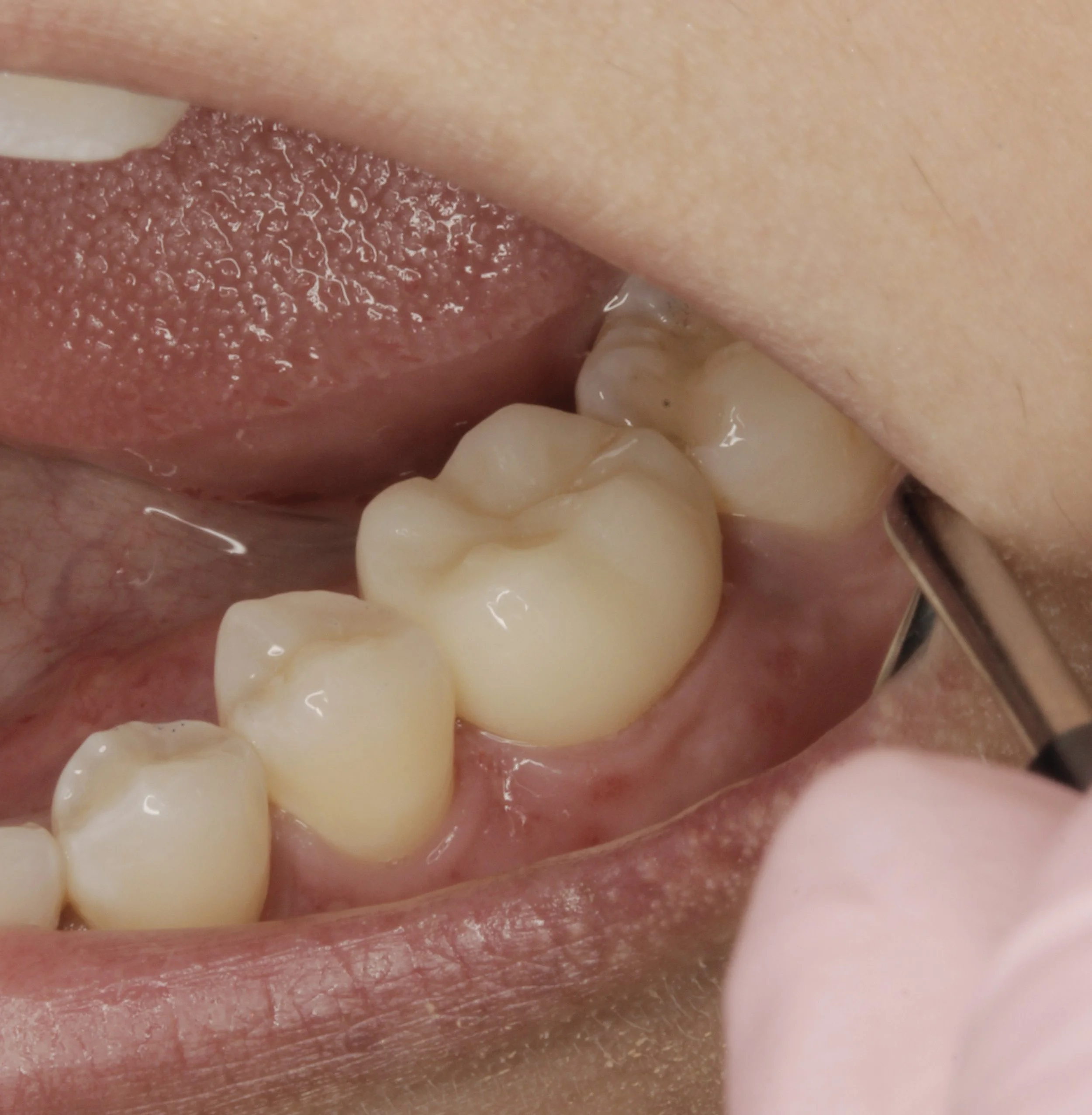
Después
Colocación de corona sin metal
Modelos con corona de zirconia
Corona sin metal
Modelo con corona sin metal.
Corono de zirconia

Síguenos:
Instagram

Horario

Lunes–Viernes
9 a.m. – 6 p.m.

Lumen Clinica dental

Ave. Mariano Arista 1726, Col. Nueva
Mexicali Baja California, México.
lumendentalmxl@gmail.com
+ 52 (686) 237-5159

Agendar por WhatsApp