0
Saltar al contenido
Lumen Clínica Dental
Inicio
Nosotros
Servicios
Casos
Hacer cita/ Appointments
Lumen Clínica Dental
Inicio
Nosotros
Servicios
Casos
Hacer cita/ Appointments
Inicio
Nosotros
Servicios
Casos
Hacer cita/ Appointments
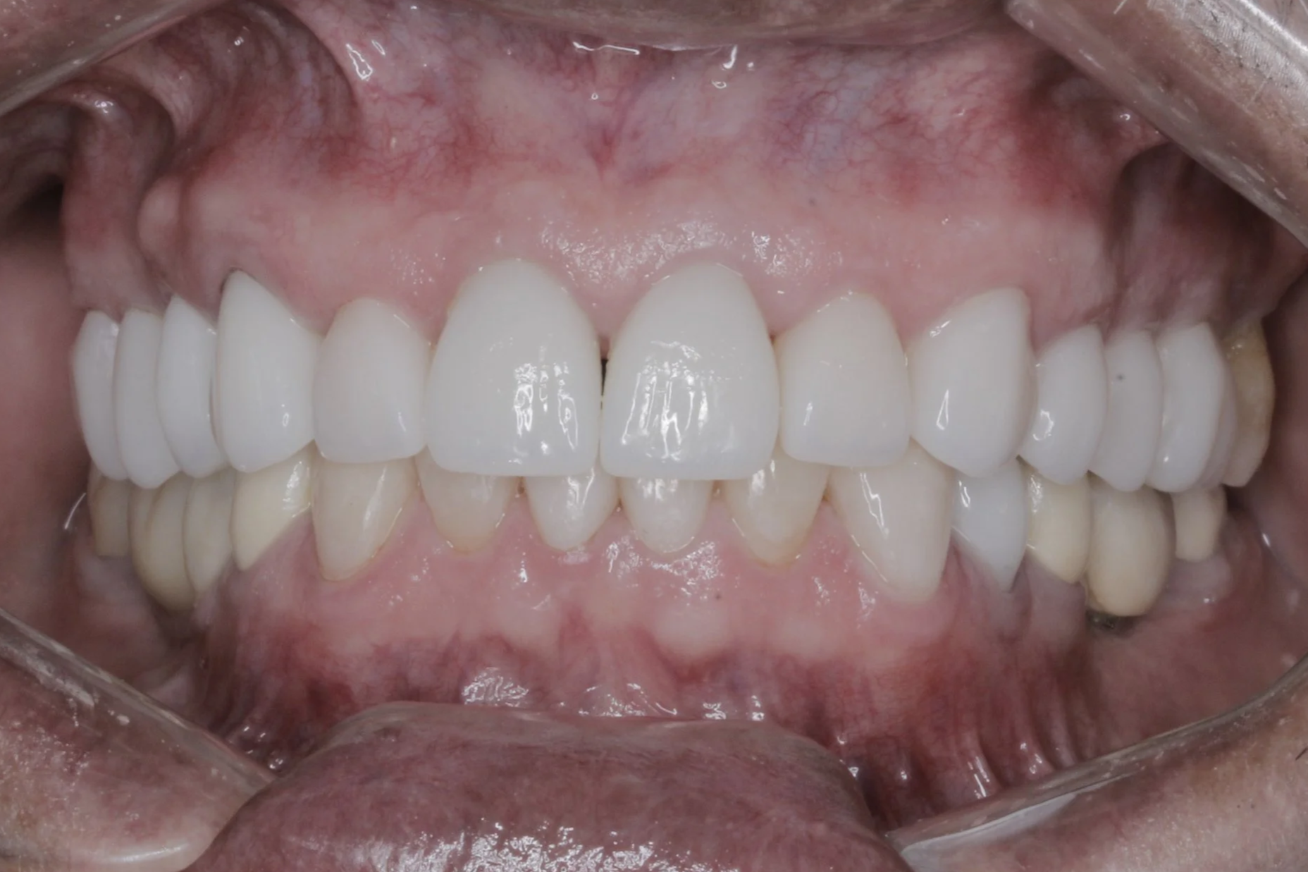
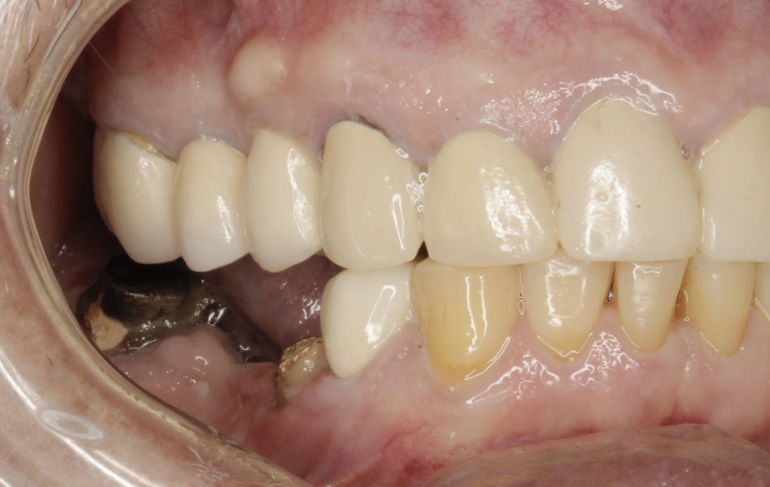
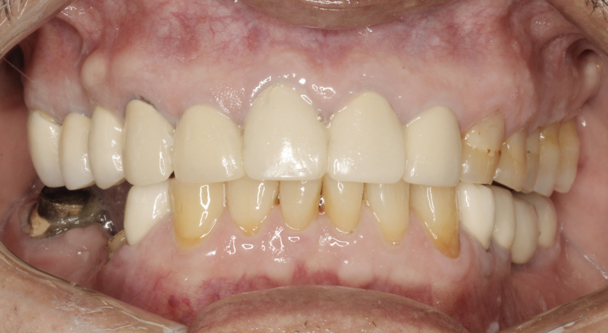
Fotografías iniciales
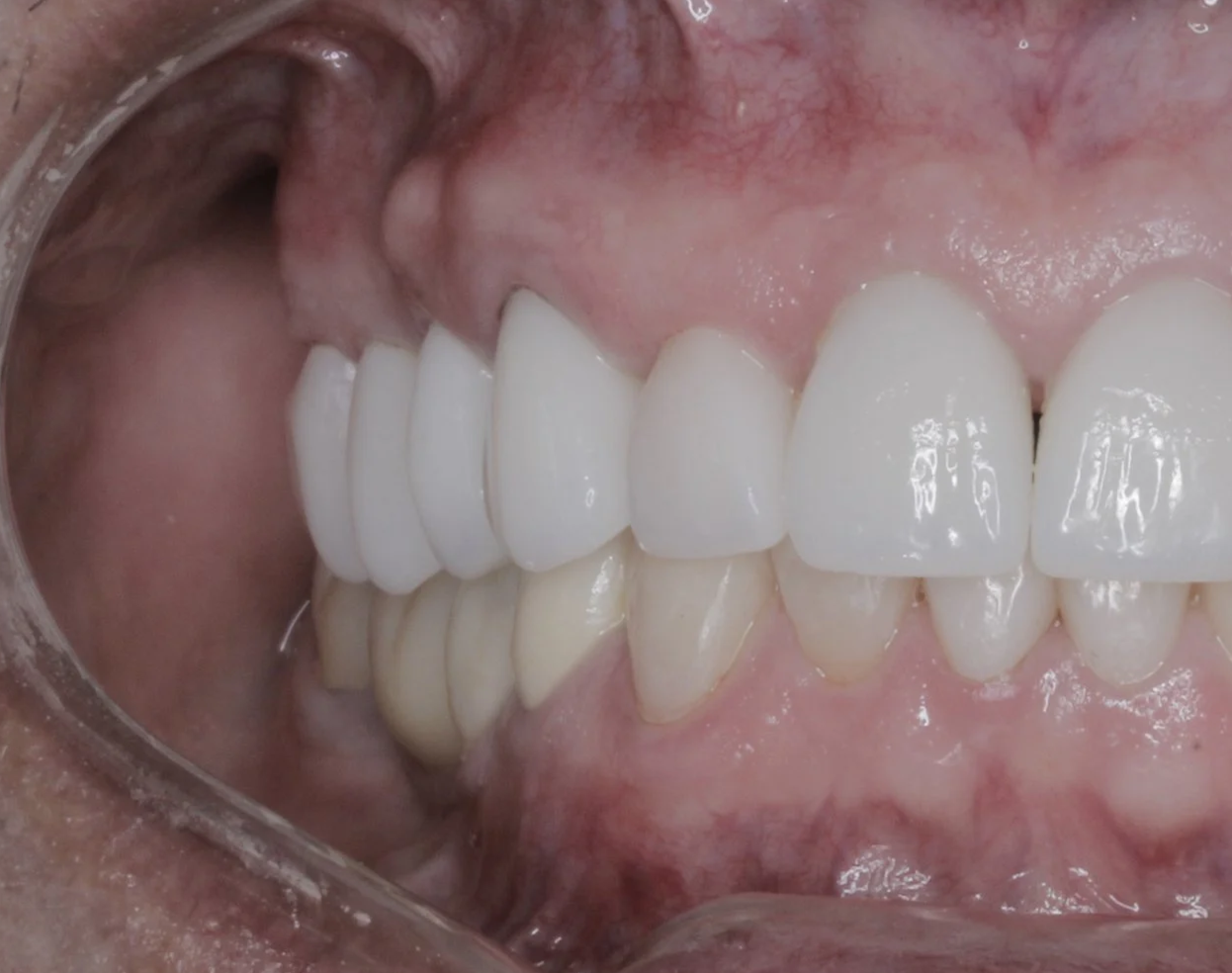
Fotografias finales
Cambio de coronas de metal porcelana por coronas sin metal.
+ Nuevo color
Antes
Fractura de puente fijo
Después 
Reemplazo de puente fijo + coronas
Nuevas coronas y carillas libres de metal de todos los dientes superiores.
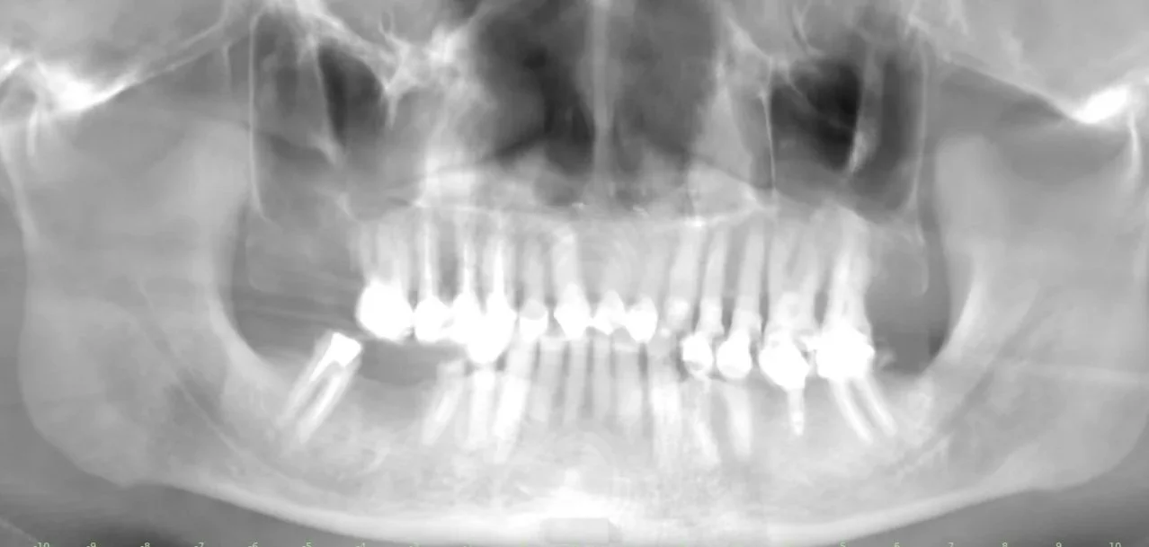
Estudios previos
Resultado final
Resultado final
_MG_0706.png

Síguenos:
Instagram

Horario

Lunes–Viernes
9 a.m. – 6 p.m.

Lumen Clinica dental

Ave. Mariano Arista 1726, Col. Nueva
Mexicali Baja California, México.
lumendentalmxl@gmail.com
+ 52 (686) 237-5159

Agendar por WhatsApp